Case Studies
Real patients. Real transformations. Every case guided by the BioLign Method.
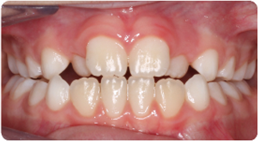
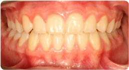
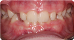
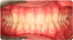
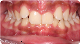
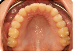
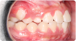
Featured Transformation
Drag the slider to compare the before and after. This patient presented with severe crowding and overlapping teeth, resolved entirely through BioLign Method-guided aligner treatment.
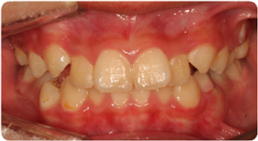
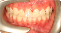
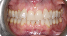
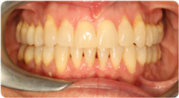
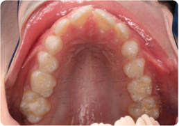
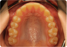
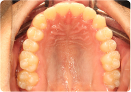
Example Cases
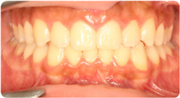
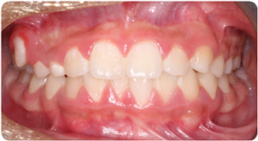
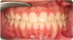
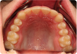
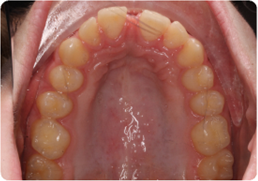
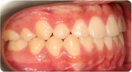
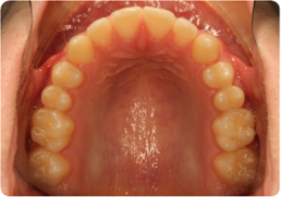
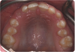
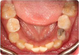
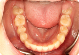
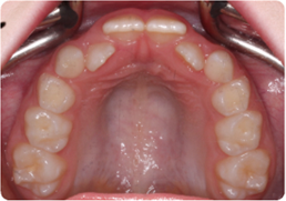
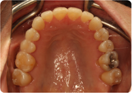
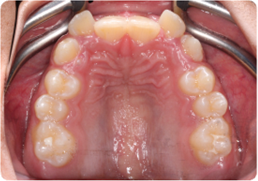
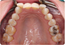
Each case shows the front view and an arch or side view, before and after BioLign Method-guided treatment.
All cases treated within 6–12 months.


Overlapping teeth resolved through arch form restoration


Protruding front teeth aligned and brought into ideal occlusion


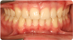
Crowding with irregular gaps resolved into even alignment


Misaligned lower arch corrected with coordinated expansion


High canine brought into the arch without extraction


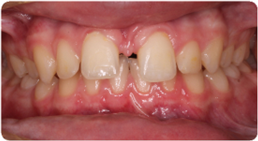
Generalized spacing closed with controlled tooth movement


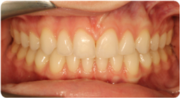
Overlapping front teeth aligned with arch form correction


Rotated and crowded teeth derotated into proper alignment
We'd love to discuss how BioLign and the BioLign Method can help you achieve predictable results, even with challenging malocclusions.